Spinal Disorders.

What it is, what causes it, and how it is treated.

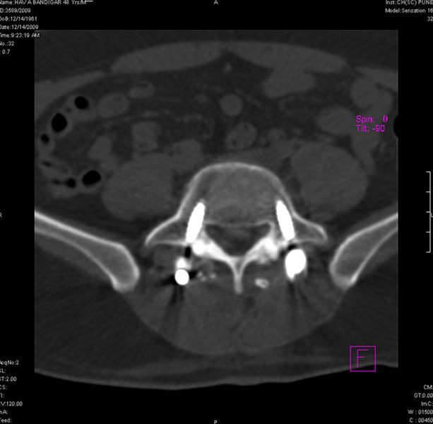
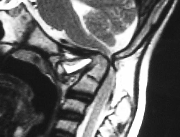
Craniovertebral Junction Anomaly

The junction of the skull with the neck is called craniovertebral junction. This is the site for a number of pathologies, that can have severe neurological problems and can be potentially life threatening. Diagnosis is achieved by CT and MRI, and treatment involves decompression and provision of stability by metallic implants.


Spondylolisthesis malformations

Spondylolisthesis implies slippage of one lumbar vertebra over the next one, causing pain and nerve compression. Patient can also have difficulty in walking and numbness of the legs. Usually these patients need evaluation lumbar spine by MRI and CT scan, followed by spinal instrumentation and fusion.


Spinal Tuberculosis

Tuberculosis of spine is the commonest form of the disease after the one involving the lungs. Pain over the spine and back is the initial symptom, followed by weakness of the limbs due to compression of the spinal cord due to formation of pus and collapse of spine. Complete evaluation by MRI, followed by surgery at appropriate level results in rapid recovery and early return ot work. Surgery may have to be accompanied by insertion of spinal implants to achieve stability and pain free back. Complete course of antituberculous drugs is mandatory for cure.

Click here to know more about Tuberculosis of lumbar and lumbosacral spine


Spinal Deformity

Spinal deformity that requires correction is scoliosis or kyphosis. These deformities require surgical correction and insertion of long-segment implants, with excellent results.


Spinal Dysraphism

Spinal dysraphism is a congenital defect in the formation of spine and spinal cord. In the newborn, there is often a visible midline swelling over the spine. Spinal dysraphism can also be an occult disorder, which can be suspected by a tuft of hair or a lipoma (‘fatty lump’) over the back. Evaluation by MRI is required and surgical excision is curative. However, a child with paralysis cannot be expected to regain motor function.


Spinal Sinuses

Spinal sinuses over midline often are attached to the spinal cord, represent occult spinal dysraphism. These are congenital in origin, and can lead to spinal cord dysfunction. Management involves evaluation by MRI, requires complete evaluation by CT, MRI followed by surgery. Posterior fusion and insertion of implants corrects and cures the condition with good long-term results.


Sciatica

Sciatica is a condition that causes pain along the path of the sciatic nerve, the longest nerve in the body. It usually affects one side and can start in the lower back, travel through the buttock and hip, and run down the back of the leg, sometimes reaching the foot.



What causes sciatica?
Sciatica happens when the sciatic nerve is irritated, inflamed, or compressed. Common causes include:

  • - Herniated (slipped) disc in the spine
  • - Spinal stenosis (narrowing of the spinal canal)
  • - Bone spurs
  • - Piriformis syndrome (muscle compressing the nerve)
  • - Injury or trauma to the lower back


Common symptoms

  • - Sharp, burning, or electric-like pain in the lower back, buttock, or leg
  • - Numbness or tingling in the leg or foot
  • - Muscle weakness in the affected leg
  • - Pain that worsens with sitting, coughing, or sneezing

Artificial Disc

An artificial disc is a medical implant used to replace a damaged spinal disc. It’s most commonly used to treat chronic neck or lower-back pain caused by disc degeneration, especially when conservative treatments haven’t worked.



What does a spinal disc do?
Natural spinal discs:

  • - Act as shock absorbers
  • - Allow flexibility and movement
  • - Keep space between vertebrae so nerves aren’t compressed


Why use an artificial disc?
The main goals are to:

  • - Relieve pain
  • - Maintain spinal motion
  • - Reduce stress on nearby discs


Who might need one?
Artificial discs may be considered for people with:

  • - Degenerative disc disease
  • - Chronic neck or back pain not improved with other treatments
  • - No severe arthritis or spinal instability

*Not everyone is a candidate—doctors evaluate imaging, age, activity level, and overall spine health.

Better outcomes start with better answers.

When you walk out of my practice, I want you to feel realistic and confident.

Connect With Us
+91-9810879786
bhatoeharjindersingh@gmail.com
Max SuperSpecialty Hospital, Mohali, Punjab – 160055, India